SUBSTERNAL GUATRA YAKLAŞIM
Özet
Substernal guatr, tiroid bezinin mediasten içine uzanması olarak tanımlanır. Bununla birlikte substernal guatrın kesin tanımı konusunda tam bir fikir birliği bulunmamaktadır. Bu tip guatrlar primer ve sekonder olarak sınıflanmaktadır. Primer substernal guatrlar tüm substernal guatrların %1‘ ini oluştururlar ve mediastende bulunan ektopik tiroid dokusundan kaynaklanırlar. Sekonder substernal guatrlar boyundaki tiroid bezinin aşağı uzanmasından kaynaklanır. Bası belirtilerinin varlığı, hipertiroidizm, malignite ve hatta korunma için total tiroidektomi endikasyonu vardır. Ender durumlar dışında substernal guatrlar boyun kesisi ile çıkarılabilir. Tiroid bezi arkus aorta seviyesinin aşağısına uzanmışsa ve dış çapı 10 cm'den büyükse veya boyun yaklaşım yöntemlerinin hepsinin uygulanmasına rağmen cerrahide ilerleme sağlanamıyorsa sternotomi ve mediastenden yaklaşım gereklidir. Her baş-boyun cerrahı substernal guatra yaklaşımı bilmelidir. Bu derleme, substernal guatra yaklaşım yöntemlerini sunmayı amaçlamaktadır.Giriş
Substernal guatr, tanımı oldukça farklılıklar gösteren bir guatr tipidir.[1] İlk olarak 1749 yılında Haller tarafından tanımlanmış ve 1820 yılında Klein tarafından ilk kez cerrahi ile çıkarılmıştır.[2] Rios ve ark.[3] on değişik substernal guatr tanımlaması olduğunu bildirmişlerdir. Allo ve Tompson[4] toraks üst girişini aşağı doğru geçen her guatrı substernal guatr olarak tanımlarken, Katlic ve ark.[5] kitlesinin yarısından fazlasının mediastene uzandığı guatrlara substernal guatr demektedir. Bu tanımlamalar yanında arkus aorta veya torakal dördüncü vertebra seviyesine uzanan guatrlar olarak da tanımlamalar mevcuttur.[6] Bu farklı tanımlamalardan dolayı literatürde substernal guatr sıklığı tüm guatrların %0.2 ile 45'i arasında değişen oranlarda bildirilmektedir.[7] Tüm mediastinal kitlelerin %5.8'i substernal guatrdır.[8] Hedayati ve McHenry[9] yapılan tiroidektomilerin % 6 ile 30'unda substernal uzanım olduğunu bildirmiştir. Genel nüfusta büyük substernal guatrlar 5000'de 1 görülür. Üçte bir oranında kadın üstünlüğü vardır ve 45 yaşın üzerindeki kadınlarda en yüksek sıklık oranına ulaşır. Büyük kısmı ön mediastende yerleşirken (%80-90), daha az oranda arka mediastende yerleşir (%10-15).[10] Substernal guatrların %99'u boyundan uzanım ile oluşurken %1'den az kısmı boyundaki tiroidden bağımsız olarak mediastende ektopik olarak bulunan tiroid dokusundan kaynaklanmaktadır.[2] Mediastende yerleşik ektopik tiroid dokusundan kaynaklanan substernal guatrlara primer substernal guatr, boyundan uzanarak gelişenlere ise sekonder substernal guatr denmektedir.[11] Primer substernal guatrlar kanlanmasını mediastinal damarlardan sağlar. Sekonder substernal guatrlar ise arteriyel beslenmesini ve venöz dönüşünü boyundan yapar. Kulak burun boğaz ve baş-boyun cerrahisi pratiğini daha çok boyundan uzanan substernal guatrlar ilgilendirmektedir. Lahey ve Swinton[12] ile Netterville ve ark[13] substernal uzanımın sebebini, guatr kitlesinin üstte tiroid ve krikoid kıkırdak, arkada prevertebral fasya, önde servikal fasya ve strep kaslar ile sınırlanmasına ve en zayıf sınırlamanın toraks girişinde olmasına, yutma esnasında kitlenin aşağı doğru çekilme eğilimine, solunum esnasında toraksta oluşan negatif basınca ve yerçekimine bağlamışlardır.
BELİRTİ ve BULGULAR
Substernal guatrlar yavaş olarak büyüdüklerinden sıklıkla 5. ve 6. dekatlara doğru belirti vermeye başlarlar.[2] Hastalarda solunumsal , ösefageal, damarsal, nörolojik ve metabolik belirtiler görülebilmektedir. Trakea ve ösefagus gibi çevre yapılara bası sebebiyle, kronik öksürük, ses kısıklığı, dispne ve disfaji görülebilir. En sık olarak hastaların %30 ile 60'ında dispne vardır.[14,15] Hastalar yan yattıklarında bası etkisi azaldığından daha rahat olduklarını ifade ederler. Ancak hastaların yaklaşık 1/3'ü asemptomatik seyredebilmektedir.[9,16] Ender olarak hastalarda ses teli felci, büyük damar basısına bağlı süperior vena kava sendromu ve Horner sendromu görülebilir.[16-18] Hatta hayatı tehdit eden asfiksi ile gelen olgular bildirilmiştir.[19] Bu sebeple asfiksi ile gelen hastalarda substernal guatr olasılığı da akılda tutulmalıdır. Hastaların %0-50'sinde hipertiroidi bulguları görülebilir.[10,20] Venöz dönüşün engellenmesine bağlı olarak ortaya çıkan Pemberton belirtisinde eller yukarı kaldırılıp beklendiğinde yüzde kızarma ve boyun venlerinde belirginleşme görülür.[21] Süperior vena cava sendromunda ise vena kava süperiorun basısına bağlı olarak yüzde ödem, ilerleyici dispne ve boyun venlerinde belirginleşme vardır.[21]
TANI
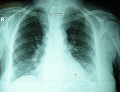
Tanıda öncelikle substernal guatr olasılığından şüphelenmek önemlidir. Boyunda guatr tespit edilen hastalarda muayenede palpasyon çok önemlidir. Palpasyonda yutkunma esnasında ve boyun ekstansiyonunda guatr alt sınırı palpe edilemiyorsa ve sternoklaviküler bölgede kitle devamlılık gösteriyorsa substernal guatrdan şüphelenilmelidir. Tanıda valsalva manevrası kullanılabilir.[22] Ancak büyük substernal guatrların %20'sinden fazlasının boyundan palpe edilemeyebileceği unutulmamalıdır.[14] Substernal guatrdan şüphelenilen olgularda direk radyografide üst mediastende radyoopasite ve trakeal itilme görülebilir (Resim 1). Hastaların yaklaşık %61'inde direk grafide trakeada itilme mevcuttur.[13] İçerisinde kalsifikasyon olan guatrlarda mediastende kalsifiye lezyon izlenebilir. Ultrasonografi boyundaki kısımla ilgili bilgi verebilir ancak substernal uzanımı göstermede yetersiz kalır. Sintigrafik incelemeler bazı tiroid lezyonları radyoaktif iyodu tutamadıklarından az oranda fayda sağlar. Bu sebeple ender olarak kullanılmaktadır.[14] Bilgisayarlı tomografi, guatrın uzanımını ve komşu yapılara yakınlığını çok iyi gösterdiği için tanıda altın standarttır (Resim 2). Damarsal yapılara yakınlığı göstermek için kontrastlı tomografi tercih edilebilir. Tiroid hacmini belirlemek amacıyla üç boyut rekonstrüksiyonlu spiral tomografi yapılabilir.[23] Manyetik rezonans görüntüleme komşu yumuşak dokularla olan ilişkiyi göstermede yardımcı olabilir. İnce iğne aspirasyon biyopsisi yapılabilir ancak mediastene uzanan bölümden alınması zordur. Bu sebeple mediastene uzanan kısımdan aspirasyon biyopsisi önerilmemektedir.[14] Substernal guatrlarda malignite riski literatürde %6 ile 21 arasında değişmektedir.[13] Mathew ve ark. 2008 yılında yaptıkları metaanalizde de benzer oranlar bulmuş ancak incelediği bir grup çalışmada boyundaki guatrlara göre daha yüksek malignite riski olmadığını vurgulamıştır.[2] Ailede tiroid hastalığı öyküsü, boyuna radyoterapi uygulanması veya radyasyona maruz kalma, tekrarlayan guatr ve boyunda lenfadenopati varlığı malignite olasılığını artıran faktörlerdir.[2]
![]() Büyütmek İçin Tıklayın |
Resim 1: Ön-arka akciğer grafisinde substernal guatra bağlı trakeada sağa itilme (ok işareti) |
![]() Büyütmek İçin Tıklayın |
Resim 2: Aksiyal kesit bilgisayarlı tomografide trakeada itilmeye neden olan substernal guatr |
TEDAVİ
MEDİKAL TEDAVİ
Medikal tedavi substernal guatrların hemen hepsinde başarısızdır.[16,24,25] Tiroid hormonu baskılama tedavisi ile tiroid hacminde %20-30 küçülme sağlandığını bildiren yayınlar vardır.[26] Çok yaşlı ve başka hastalıkları sebebiyle ameliyat yapılamayan hastalarda kullanılabilir. Büyük ve bası semptomları olan ve tirotoksikozisi olan olgularda I[31] tedavisi ile boyutlarda küçülme bildirilmiştir.[23] Ancak bu tedavide ender de olsa bası belirtilerinin artması ve radyasyon tiroiditi riski mevcuttur. Genel görüş medikal tedavinin substernal guatrda etkisiz olduğudur.[2]
CERRAHİ TEDAVİ
Substernal guatr bası etkisi, potansiyel akut solunum sıkıntısı olasılığı, potansiyel malignite olasılığı sebepleriyle cerrahi olarak tedavi edilmelidir. Birçok otör substernal guatr varlığını bile tek başına cerrahi endikasyon olarak kabul etmektedir.[2]
Cerrahi yaklaşım olarak boyundan yaklaşım, sternotomi, torakotomi ve kombine yaklaşım yöntemleri kullanılmaktadır.
BOYUNDAN YAKLAŞIM
Baş-boyun cerrahisi pratiğini ilgilendiren yaklaşım yöntemidir. Hastaların %94-98'inde boyundan yaklaşım yeterli olmaktadır (Resim 3,4).[4,27,28] Ancak her substernal guatr olgusunda sternotomi, torakotomi olasılığı göz önünde bulundurularak hastalar ameliyat öncesinde göğüs cerrahisi ekibiyle beraber değerlendirilmelidir. Torakal yaklaşım olasılığı olan hastalarda ameliyat esnasında göğüs cerrahisi ekibi hazır bulundurulmalıdır. Ayrıca hastalara mutlaka ameliyat öncesi her türlü yaklaşım hakkında bilgi verilmeli ve yeterli miktarda kan hazırlanmalıdır.
![]() Büyütmek İçin Tıklayın |
Resim 3: Boyundan insizyonla substernal guatrın çıkarılmış görünümü |
![]() Büyütmek İçin Tıklayın |
Resim 4: Boyundan yaklaşımla çıkarılan solda substernal uzanan total tiroidektomi spesmeni |
Substernal guatra cerrahi yaklaşım yöntemleri literatürde ayrıntılı bir şekilde tanımlanmıştır.[29,30] Hasta pozisyonu boyundaki guatra yaklaşımla aynıdır. Hasta omuz altı desteğiyle hiperekstansiyona getirilip boyun altı desteklenir ve baş yaklaşık 30º yükseltilir. Bu pozisyonla boyundaki venöz basınç azaltılır. İnsizyon olarak boyun çizgilerine paralel Kocher insizyonu tercih edilir. Ancak insizyonun yerinin biraz yukardan yapılması önerilmektedir.[28] İnsizyonu takiben cilt ciltaltı geçilip strep kaslara ulaşılır. Büyük guatrlarda olduğu gibi strep kaslar üst 1/3, alt 2/3 hizasından kesilebilir. Özellikle substernal uzanan kısımda strep kasların kesilmesi önerilmektedir.[28] Önce substernal uzanmayan veya daha az uzanan kısım doğurtularak serbestleştirilmelidir. Bu taraf için yaklaşım ve rekürrent larengeal sinirin aranması boyundaki guatra yaklaşımla aynıdır. Bu lob tamamen serbestleştirilip rekürrent larengeal sinir disseksiyonu ile istmustan ayrılıp total olarak çıkarılır. Daha sonra substernal uzanan kısma geçilir. Substernal uzanan kısma girişim için öncelikle bezin serbestleştirilmesi önemlidir. Bu sebeple üstten yaklaşım tercih edilmelidir. Öncelikle üst tiroid arter ve ven bulunup ayrı ayrı bağlanır ve kesilir. Bu aşamada üst larengeal siniri zedelenmeden kaçınılmalıdır. Üst kutup disseksiyonunda Joll aralığı (Joll's space) denen tiroid üst kutbunun mediali ile krikotiroid kas arasında kalan avasküler saha önem taşır. Bu sahada elevatörler yardımıyla kansız bir disseksiyonla üst kutup serbestleştirilir. Daha sonra künt disseksiyonla tiroid lateraline geçilip bez serbestleştirilmeye devam edilir. Orta tiroid ven bağlanır ve kesilir. Ardından alt tiroid venler bulunup bağlanıp kesilmelidir. Bu aşamadan sonra substernal kısım doğurtulmaya çalışılabilir. Tiroid doğurtulurken daha iyi bir görüş sahası için alın ışığı tercih edilebilir. Doğurtma işleminde parmak dikkatlice mediastene ilerletilir ve yana kayma hareketleriyle substernal kısım çevre dokulardan disseke edilir. Tiroid bezi alt ucu palpe edilir ve işaret parmağı ‘'J'' şekline getirilip alt kısımdan yukarıya doğru çekilir. Bu aşamayı kolaylaştırmak için Foley sondanın mediastene ilerletilip şişirilmesi ile bezin disseksiyonuna yardımcı olunabilir.[31] Tüm bu aşamalarda sürekli çekme önemlidir. Bez bu yöntemle doğurtulursa daha sonra rekürrent larengeal sinirin aranması ve disseksiyonuna geçilir. Ancak sinirin guatrdan dolayı yer değiştirebileceği unutulmamalıdır. Bu nedenle sinir monitorizasyonu tercih edilebilir. Aynı şekilde paratiroid bezler tiroid bezine yapışık kalabilir. Bu sebeple paratiroid bezler dikkatlice aranıp korunmalıdır. Paratiroid bezler görülemezse spesmen üzerinde de dikkatle aranmalı, bulunursa spesmenden ayrılıp donuk kesit (frozen section) ile paratiroid bez olduğu onaylandıktan sonra oto-implante edilmelidir. Bazen bu aşamalar ile substernal tiroid bezini doğurtmak mümkün olmayabilir. Bu durumda önce rekürrent larengeal sinir üstten yaklaşım metoduyla bulunur, Berry ligamanından ayrılır. Bu şekilde hem sinir korumaya alınır hem de bez daha fazla serbestleşir ve doğurtma işlemine yukarıda anlatıldığı şekilde devam edilir. Doğurtma tamamlandıktan sonraki ameliyat aşamaları boyundaki guatra yaklaşımla aynıdır.
YARDIMCI YÖNTEM VE GEREÇLER
Substernal kısmın çıkarılmasında birçok yardımcı yöntem bildirilmiştir. Lahey[32] 1945 yılında bezi küçük parçalar halinde çıkarmayı önermiştir. Bu yöntem komplikasyonlarından dolayı kullanılmamaktadır. Katlic ve ark.[5] 1985 yılında steril uzun kaşık ile substernal kısmın altına girilerek doğurtma işlemi yapılabileceğini belirtmiştir. Pandya ve Sanders[31] Foley sondanın mediastende şişirilip indirilmesi ile disseksiyona yardımcı bir yöntem tanımlamıştır. Proye[33] Toboggan tekniği olarak belirttiği rekürrent larengeal siniri üstte bulup disseke ederek bezi daha fazla serbestleştirmeyi, ardından substernal kısmı doğurtmayı sağlayan yöntemi tanımlamıştır. Biz de kliniğimizde zor olgularda bu yöntemi tercih etmekteyiz. Ayrıca çekmeye yardımcı olması için beze ipek askı dikişler konabilir. Mikrodebrider ile bez içine girilerek bez hacmi küçültülebilir.[34] Ancak bu yöntem patolojik değerlendirmeyi zorlaştıracaktır. Grondin ve ark.[35] 2001 yılında video eşliğinde toraks cerrahisini (VATS “video assisted thoracic surgery”) kullanmıştır. Daha sonra supraklaviküler bölgeden açılan bir pencereden video eşliğinde substernal guatra cerrahi uygulanmış ve bu şekilde rekürrent larengeal sinirin daha iyi korunabileceği bildirilmiştir.[36] Podgaetz ve ark.[37] 2009 yılında bu olgularda robotik cerrahiyi ilk kez kullanmıştır.
TORAKAL YAKLAŞIM
Preoperatif dönemde torakal yaklaşım olasılığı çok iyi değerlendirilmelidir. Arkus aorta seviyesini aşağısına ilerleyen, karina seviyesini geçen ve bu seviyelerde substernal kitle eninin 10 cm'den fazla olduğu olgularda torakal yaklaşım gerekmektedir.[6] Huins ve ark.[38] 2007 yılında yaklaşım yöntemlerini içeren yeni bir sınıflama tanımlamışlardır (Tablo 1). Ayrıca tekrarlayan substernal guatr olgularında, öyküde geçirilmiş torakal cerrahi, mediastinal radyoterapi varsa, hasta tiroid malignitesi tanısı almışsa, ileri venöz obstrüksiyon (süperior vena kava sendromu) mevcutsa, boyundan bağımsız ektopik substernal guatr varsa, substernal kısım arka mediastende yerleşmişse torakal yaklaşım gerekmektedir ve bu sebeple göğüs cerrahisi ekibiyle temasa geçilmelidir.[34]
Tablo 1: Substernal guatra yaklaşımda Huins sınıflaması
KOMPLİKASYONLAR:
Boyundaki guatrda karşılaşılan komplikasyonlar aynen substernal guatrda da görülebilir. Komplikasyonları değerlendiren çalışmalara göre substernal guatrda boyundaki guatra göre daha çok komplikasyon ortaya çıkmakta ve dolayısıyla daha çok morbiditeye sebep olmaktadır.[2,16,39]Özellikle karina seviyesine ulaşan substernal guatrlarda morbidite ve mortalitenin arttığı bildirilmiştir.[39] Geçici veya kalıcı hipoparatiroidi oranı % 0-6 arasında değişmektedir.[2] Bu komplikasyona boyunda yerleşik guatrlara göre daha sık rastlanmaktadır.[2,10] Rekürrent larengeal sinir zedelenmesi ihtimali %1'den azdır. Kanama önemli bir komplikasyondur. Boyundan yaklaşımda doğurtma işlemi esnasında mediastinal kanama olabilir. Bu durumda doğurtma işlemi tamamlanmalı ve göğüs cerrahisi ekibine haber verilmelidir. Bir çalışmada mediastenden kanama durumunda mediastene ilerletilen bir Foley sondanın şişirilmesi ile kanamanın kontrol altına alınabileceği bildirilmiştir.[40] Trakeomalazi oldukça ender görülmektedir. Özellikle 5 yılı aşan süredir trakeal bası olan hastalarda trakeomalazi olasılığı artmaktadır.[2] Ameliyat esnasında trakeomalazi şüphesi oluşursa önerilen yaklaşım, 24 saat entübasyonun devamı, ardından kontrollü ekstübasyon ve yakın izlemdir.[7] Ayrıca mediastendeki disseksiyona bağlı pnömotoraks ve mediastinit gelişebilir.
Sonuç olarak tiroid cerrahisi kulak burun boğaz ve baş-boyun cerrahisi alanında önemli bir yere sahiptir. Tiroid cerrahisi yapan her hekim substernal uzanan guatrlarla karşılaşabilir. Hekimler bu olasılığı her zaman göz önünde bulundurmalı ve ameliyat öncesi, esnası ve ameliyat sonrası dönemde her türlü tedbiri alarak bu hastalara çok dikkatli yaklaşmalıdır.
Kaynaklar
1) Shaha AR. Substernal goiter: what is in a definition? Surgery 2010 ;147(2):239-40. [ Özet ]
2) White ML, Doherty GM, Gauger PG. Evidence-based surgical management of substernal goiter. World J Surg 2008;32(7):1285-300. [ Özet ]
3) Rios A, Rodriguez JM, Balsalobre MD, Tebar FJ, Parrilla P. The value of various definitions of intrathoracic goiter for predicting intra-operative and postoperative complications. Surgery 2010;147(2):233-8. [ Özet ]
4) Allo MD, Thompson NW. Rationale for the operative management of substernal goiters. Surgery 1983;94:969-977. [ Özet ]
5) Katlic MR, Wang C, Grillo HC. Substernal goiter. Am Thorac Surg 1985;(39):391–9. [ Özet ]
6) Topcu S, Liman ST, Canturk Z, Utkan Z, Canturk Z, Corak S et al. Necessarity for additional incisions with the cervical collar incision to remove retrosternal goiters. Surg Today 2008;38(12):1072-7. [ Özet ]
7) Rios A, Rodriguez JM, Galindo PJ, Torres J, Canteras M, Balsalobre MD, Parrilla P. Results of surgical treatment in multinodular goiter with an intrathoracic component. Surg Today 2008;38(6):487-94. [ Özet ]
8) Creswell LL, Wells SA. Mediastinal masses originating in the neck. Chest Surgery Clinics of North America 1992;(2):23-55.
9) Hedayati N, McHenry CR. The clinical presentation and operative management of nodular and diffuse substernal thyroid disease. Am Surg 2002;68:245-252. [ Özet ]
10) Erbil Y, Bozbora A, Barbaros U, Ozarmağan S, Azezli A, Molvalilar S. Surgical management of substernal goiters: clinical experience of 170 cases.Surg Today 2004;34(9):732-6. [ Özet ]
11) Agha A, Glockzin G, Ghali N, Iesalnieks I, Schlitt HJ. Surgical treatment of substernal goiter: an analysis of 59 patients. Surg Today 2008;38(6):505-11. [ Özet ]
12) Lahey FH, Swinton NW. Intra-thoracic goiter. Surg Gynecol Obstet 1934;59:627-37.
13) Netterville JL, Coleman SC, Smith JC, Smith MM, Day TA, Burkey BB. Management of substernal goiter.Laryngoscope 1998;108(11):1611-7. [ Özet ]
14) Porterfield JJr, Factor D, Grant C. Technique of total thyroidectomy for large substernal goiters. Operative Techniques in Otolaryngology 2009;20(1):18-22.
15) Abboud B, Sleilaty G, Mallak N, Abou Zeid H, Tabchy B. Morbidity and mortality of thyroidectomy for substernal goiter. Head Neck 2010;32(6):744-9.
16) Pieracci FM, Fahey 3rd TJ. Substernal thyroidectomy is associated with increased morbidity and mortality as compared with conventional cervical thyroidectomy. J Am Coll Surg 2007; 205: 1–7. [ Özet ]
17) Marcelino M, Nobre E, Conceicao J, Lopes L, Vilar H, de Castro JJ. Superior vena cava syndrome and substernal goiter. Thyroid 2010;20(2):235-6. [ Özet ]
18) Uncu H, Arbal D. Multinodular goiter causing tracheal compression and superior vena cava syndrome: a case report. The Endocrinologist 2008;18(4):167-9.
19) Ket S, Özbudak Ö, Özdemir T,Dertsiz L. Trakeal obstrüksiyonu olan ve akut solunum yetmezliği gelişen posterior dev mediastinal guatrlı bir olgu. Akciğer Arşivi 2005;6(2):84-5.
20) Madjar S, Weissberg D. Retrosternal goiter. Chest 1995;108:78-82. [ Özet ]
21) Yılmaz C. İntratorasik guatrda ameliyat. Yılmaz C editör. Tiroid-Paratiroid Hastalıkları ve Cerrahisi. 3. Baskı. İstanbul: Nobel Tıp Kitabevleri; 2008. 425-38.
22) Perkins HT Jr, McIntosh HD, Boineau JP. Goitre plongeant: intrathoracic goiter demonstrated by the Valsalva maneuver. Circulation 1960;21(1):90-4. [ Özet ]
23) Bontha, S, Dupuy D, Monchik, JM, Jackson I. Use of volume derived from three-dimensional computed tomography to follow-up a retrosternal compressive toxic multinodular goiter treated with 131I. The Endocrinologist 2001;11(3):247-249.
24) Sitges-Serra A, Sancho JJ. Surgical management of recurrent and intrathoracic goiters. In: Clark OH, Duh Q-Y, Kebebew E, editors. Textbook of Endocrine Surgery, 2nd ed. Philadelphia: Elsevier Saunders; 2005.p. 304–317.
25) Sosa JA, Bowman HM, Tielsch JM, Powe NR, Gordon TA, Udelsman R. The importance of surgeon experience for clinical and economic outcomes from thyroidectomy. Ann Surg 1998;228:320–30. [ Özet ]
26) Monckick JM, Mateazzi G. The necessity for a thoracic approach in thyroid surgery. Arch Surg 2000;135:467-472. [ Özet ]
27) Ahmed ME, Ahmed EO, Mahadi SI. Retrosternal goiter: the need for median sternotomy. World J Surg 2006;30(11):1945-8. [ Özet ]
28) Wheeler MH. Clinical dilemma: retrosternal goitre. Br J Surg 1999;86:1235-1236. [ Özet ]
29) Sundaresan RS. Resection of Substernal Thyroid Gland. Operative Techniques in Thoracic and Cardiovascular Surgery: A Comparative Atlas. 2001;6(4): 221-236.
30) Güney E, Çağlı S,Yüce İ. Tiroid ve Paratiroid Cerrahi Hastalıkları. Güney E editör. İstanbul: İyiişler Matbaası;2008. 219-221.
31) Pandya S, Sanders LE. Use of a Foley catheter in the removal of a substernal goiter. Am J Surg 1998;175(2):155-7. [ Özet ]
32) Lahey FH. Intrathoracic goiters. Surg Clin North Am 1945;25:609-618.
33) Proye CAG.Substernal goiters-surgical technique. Curr Pract Surg 1993;5:72-7.
34) Har-El G, Sundaram K.Powered instrumentation for transcervical removal of gigantic intrathoracic thyroid. Head Neck 2001;23(4):322-5. [ Özet ]
35) Grondin SC, Buenaventura P, Luketich JD. Thoracoscopic resection of an ectopic intrathoracic goiter. Ann Thorac Surg 2001;71(5):1697-8. [ Özet ]
36) Shigemura N, Akashi A, Nakagiri T, Matsuda H. VATS with a supraclavicular window for huge substernal goiter: an alternative technique for preventing recurrent laryngeal nerve injury. Thorac Cardiovasc Surg 2005;53(4):231-3. [ Özet ]
37) Podgaetz E, Gharagozloo F, Najam F, Sadeghi N, Margolis M, Tempesta B. A novel robot-assisted technique for excision of a posterior mediastinal thyroid goiter: A combined cervico-mediastinal approach innovations: Technology and Techniques in Cardiothoracic and Vascular Surgery 2009;4(4): 225-228.
38) Huins CT, Georgalas C, Mehrzad H, Tolley NS. A new classification system for retrosternal goitre based on a systematic review of its complications and management. Int J Surg 2008;6(1):71-76. [ Özet ]
39) Sancho JJ, Kraimps JL, Sanchez-Blanco JM, Larrad A, Rodríguez JM, Gil P, Gibelin H et al. Increased mortality and morbidity associated with thyroidectomy for intrathoracic goiters reaching the carina tracheae. Arch Surg 2006;141(1):82-5. [ Özet ]
40) Clark OH, Lal G. Novel technique for control of mediastinal bleeding during thyroidectomy for substernal goiter. J Am Coll Surg 2003;196(5):818-20. [ Özet ]





